Stereotactic body radiation therapy for nonmetastatic lung cancer: Sbrt is a specialized technique used to treat tumors in the lung, liver and spine while minimizing damage to the surrounding normal, healthy tissues.
Stereotactic body radiation therapy (sbrt) is one such technique that has shown efficacy as upfront treatment for lung cancer.
Stereotactic body radiation therapy lung cancer. Sbrt for lung cancer is given over 7 to 10 days, which is much shorter than other ways of giving radiation therapy. Lung cancer continues to be one of the most prevalent malignancies worldwide and is the leading cause of death in both men and women. Department of radiation oncology, the ohio state university.
Stereotactic body radiation therapy (sbrt) is one such technique that has shown efficacy as upfront treatment for lung cancer. Stereotactic body radiation therapy (sbrt) has evolved as a viable alternative to surgery for medically inoperable patients, achieving excellent local. Sbrt is sometimes called stereotactic ablative radiotherapy (sabr).
Sbrt combines reproducible and accurate anatomic targeting with the delivery of a very high dose per fraction of radiation to a target. The role of stereotactic body radiation therapy for operable patients is expected to be clarified by the outcomes of coming clinical trials. You may be offered sbrt if you have lung cancer that hasn�t spread outside of the lung or if you can�t have or don�t want to have surgery.
Sbrt is characterized by high fractional dose and few treatment fractions. Tremendous advance in stereotactic body radiation. (1)department of radiation oncology, staten island university hospital, staten island, ny, usa.
Stereotactic body radiation therapy (sbrt) delivers precise, high doses of radiation to a tumor. Listing a study does not mean it has been evaluated by. Radiation is a type of lung cancer treatment designed to only target cancer cells and not affect other parts of the body.
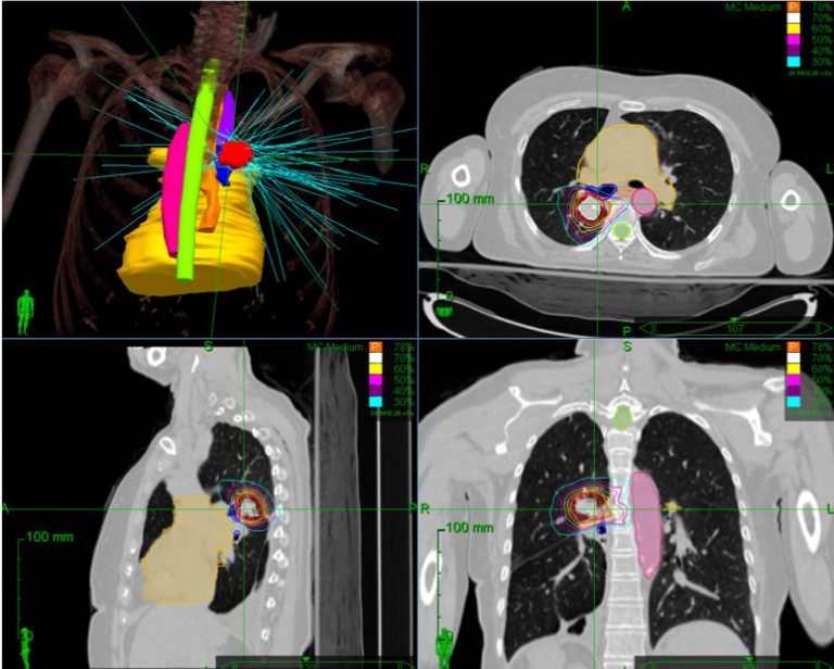
Stereotactic body radiation therapy (sbrt), also known as stereotactic ablative radiotherapy, is a technique of external beam radiation that delivers precisely targeted, ablative doses to extracranial sites. Stereotactic body radiation therapy for inoperable early stage lung cancer. Improvements in imaging and radiation treatment delivery systems however have provided radiation oncologists with new tools to better target these tumors.
An analysis of 75 patients treated over 5 years. Participants in this research will receive a type of radiation treatment called stereotactic body radiation therapy (sbrt). Radiation may come from outside the body (external) or from radioactive materials placed directly inside the.
Author informationarticle notescopyright and license informationdisclaimer. In addition, more recent studies have demonstrated some effectiveness in recurrent tumors in prior irradiated fields as well. Stereotactic body radiation therapy for nonmetastatic lung cancer:
Hypofractionated stereotactic body radiation therapy (sbrt) appears to be a valid alternative option, with high rates of. Presently, local control rates are quite poor. Sbrt is a specialized technique used to treat tumors in the lung, liver and spine while minimizing damage to the surrounding normal, healthy tissues.
This purpose of this study is to learn about the good and bad effects of treating early stage lung cancer without having a biopsy of the tumor. It might also be considered for tumors that have limited spread to other parts of the body, such as the brain or adrenal gland.