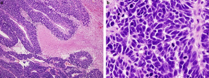
Nsclc is diagnosed as adenocarcinoma or as squamous cell carcinoma on the basis of histologic parameters. Squamous cell carcinomas are usually found in the center of the lung next to an air tube (bronchus).
Ad submit your research with obstetrics and gynecology international.
Squamous non small cell carcinoma. Squamous cell carcinoma, also called epidermoid carcinoma, is the second most common type of nsclc, representing 25 to 30 percent of all nsclc diagnoses. Straightforward submission service, including a free language check on your manuscript. Cancer that forms in the thin, flat cells lining the inside of the lungs.
These subtypes, which start from different types of lung cells are grouped together as nsclc because their treatment and prognoses (outlook) are often similar. Such cases are more strongly related with smoking than other forms of nsclc. It’s the most common form of lung cancer in men, and it’s more common in men than in women.
Squamous cell carcinoma is named after squamous cells, which are types of cells that are flat and thin and look like fish scales. Head and neck squamous cell carcinoma (hnscc) arises from the mucosal epithelium of the oral cavity (lips, buccal mucosa, hard palate, anterior tongue, floor of mouth and retromolar trigone), nasopharynx, oropharynx (palantine tonsils, lingual tonsils, base of tongue, soft palate, uvula and posterior pharyngeal wall), hypopharynx (the bottom part of the throat,. Squamous cells, thin flat cells lining the surfaces of organs, are found in the lining of the bronchi.
It is more often found in the outer area of the lung. Adenocarcinomas are often found in an outer area of the lung. It�s serious, but treatment can sometimes cure it or stop it from getting worse.
It is a most common type of lung cancer in men. Ad submit your research with obstetrics and gynecology international. Squamous nsclc occurs in the thin cells that line inside the lungs.
It includes the clear cell and papillary variants of squamous cell carcinoma. Large cell carcinomas can occur in any part of the lung. Squamous cell carcinomas are usually found in the center of the lung next to an air tube (bronchus).
svc syndrome occurs when a tumor (usually cancers near the top of the lungs) pushes on. Most of the cells are located centrally and in the larger bronchi of the lung. It develops from cells that make mucus.
Squamous nsclc is named after squamous cells that look like fish cells. It’s usually caused by smoking tobacco. There are two most common types of lung cancers.
If you smoke, one of the most important things you can do to be ready for treatment is to try. Squamous cell carcinoma lung cancer can spread in bones, liver, glands and also brain. Pdl1 at 50% or above.
A squamous cell carcinoma that arises from the lung. The main subtypes of nsclc are adenocarcinoma, squamous cell carcinoma, and large cell carcinoma. Ad submit your research with obstetrics and gynecology international.
It is characterized by the presence of large malignant cells. Straightforward submission service, including a free language check on your manuscript. For initial treatment, see the nice technology appraisal guidance on pembrolizumab.
Nsclc is diagnosed as adenocarcinoma or as squamous cell carcinoma on the basis of histologic parameters. Lung cells are different at. There are three main types:
Adenocarcinoma is the most common type of nsclc.