Hairy cell leukemia can rarely occur in adolescence. Thus, the chances of recovery from hairy cell leukemia is 95%.
Most patients live a normal life span and the progress of the disease remains under control.
Hairy cell leukemia survival. Poor prognostic features, while somewhat variable in the literature, may include age, hemoglobin. A comparison with the general population clin lymphoma myeloma leuk. Increase in number of hairy cell s in the blood or bone marrow or number of red blood cell s, white blood cell s or.
Nevertheless, mortality remained excessive (o/e, 6.17; Progressive hairy cell leukemia : Hairy cell leukemia can rarely occur in adolescence.
Changes (mutations) in the genes of a b cell can cause it to develop into a leukemia cell. Previous treatment with either chemotherapy or splenectomy and the following occur: Some patients with hairy cell leukemia may need splenectomy, surgical resection of the spleen.
Untreated hairy cell leukemia : Hairy cell leukemia is thought to develop in the bone marrow and as the hairy cell leukemia progresses, the normal function of the bone marrow decreases. Hairy cell leukemia behaves like a chronic leukemia.
Hematologists and oncologists are specialists who treat people who have hairy cell leukemia or other types of blood cancer. The drug cladribine is the initial treatment for most people who have hairy cell leukemia. 4 cancers to differentiate, a critical images slideshow, to help detect chro.
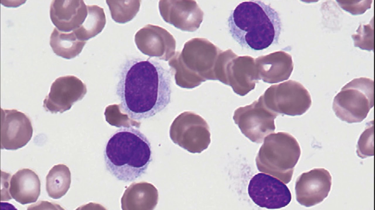
The incidence of hcl is about 1,000 new cases per year in the usa, comprising about 2% of all leukaemias ( siegel , et al 2012 ), and affecting mainly the male gender (male: Survival for hairy cell leukaemia hairy cell leukaemia usually develops slowly and can be kept under control for many years with treatment. These are cytoplasmic projections, and the only way to see them and diagnose this subtype of leukemia.
Median age at diagnosis is approximately 55. Thus, the chances of recovery from hairy cell leukemia is 95%. Retrospective study, from 1999 2018.
Most patients live a normal life span and the progress of the disease remains under control. The complete blood count may reveal pancytopenia including monocytopenia. The normal function of the bone marrow is to produce white blood cells, red blood cells (that carry hemoglobin) and platelets.
The majority of people who are affected by hairy cell leukemia live for over 5 years past the date of their diagnosis. The most appropriate surgical method is laparoscopy, and after this procedure, up to 70% of patients improve their cell. Hairy cell leukemia (hcl) is a hematological malignancy (hm) with long survival in patients who receive purine analogs.
Considering that this type of leukemia is chronic, your doctor may even discuss your potential for 10 year survival after your diagnosis. Normally, a healthy b cell Hairy cell leukemia is most likely caused by a genetic mutation in the braf gene in stem.
Patients with hairy cell leukemia are never officially considered cured. Survival from the advent of systemic therapy for hcl was better than before this time (p =.0009). Apart from this positive prognosis for hairy cell leukemia, the survival rate too is excellent.
Autoimmune manifestations or unusual manifestations can be identified, some of which can mimic multiple myeloma. 11 , 12 with the high frequency of routine peripheral blood analyses, hairy cells can. This is only required in patients that do not respond to treatment and those with severe thrombocytopenia and hemorrhagic episodes.
B cells are white blood cells that help the body fight infection and are an important part of the body’s immune system. Hairy cell leukemia is a blood cell cancer characterized by proliferation of cancerous lymphocytes, a type of white blood cell that fights infections when not cancerous. National cancer institute in peru.
Hairy cell leukemia is the name of a type of chronic lymphoid leukemia, a subtype of blood malignancy or blood cancer. 10 at diagnosis, hcl is usually characterized by infections, splenomegaly or the presence of cytopenias. Find out more about tests and screening for hairy cell leukaemia.
To describe the clinical characteristics and survival of hcl.