Eosinophilic granulomatosis with polyangiitis can occur in people of all ages. Eosinophilic granulomatosis with polyangiitis (egpa), also called churg strauss syndrome, is a rare, chronic disorder and a form of primary systemic autoimmune vasculitis characterized by inflammation of blood vessels.
Wechsler me, akuthota p, jayne d, et al.
Eosinophilic granulomatosis with polyangiitis. The cause of eosinophilic granulomatosis with polyangiitis is unknown. 56 rows eosinophilic granulomatosis with polyangiitis (churg strauss syndrome) is a condition characterized by asthma, high levels of eosinophils (a type of white blood cell that helps fight infection), and inflammation of small to medium sized blood vessels. The average age at the time of diagnosis is 48.
Eosinophilic granulomatosis with polyangiitis can occur in people of all ages. What is eosinophilic granulomatosis with polyangiitis (egpa)? Despite its rarity, continuous gains are being made in understanding the disease with knowledge advancements regarding its epidemiology, heterogeneous clinical manifestations, management.
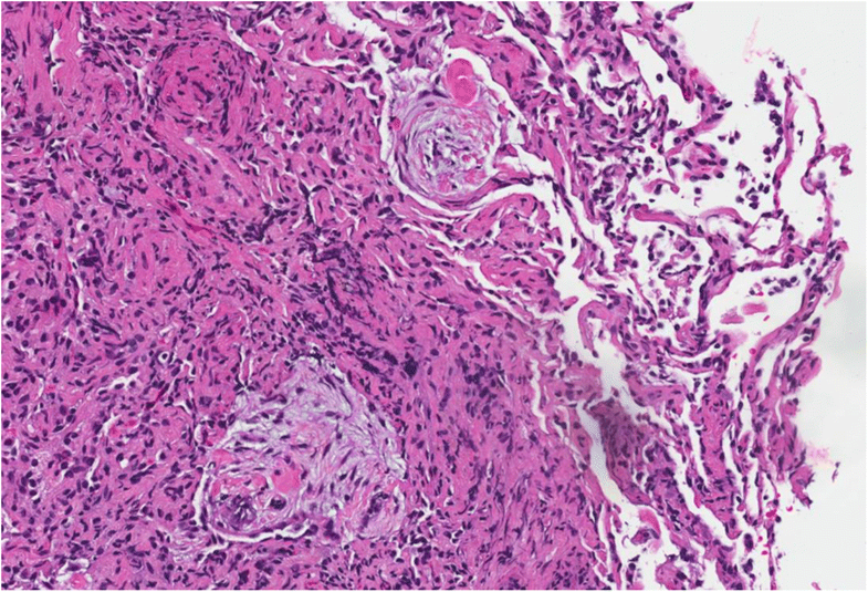
It is also classified under the spectrum of eosinophilic lung disease and as a type of pulmonary angiitis and granulomatosis. In egpa, vasculitis is associated with asthma and eosinophilia. This contraction of the class ii hla repertoire suggests a strong cd4 + t lymphocyte activation, possibly triggered by allergens or antigens.
Egpa is classified as a vasculitis of the. Affected people develop asthma, nasal allergies, nasal polyposis (when numerous polyps develop in the nose), or a combination in adulthood. In eosinophilic granulomatosis with polyangiitis, small blood vessels that supply tissues in the lungs, sinuses, skin,.
Mepolizumab or placebo for eosinophilic granulomatosis with polyangiitis. We present a case report of overlap of granulomatosis with polyangiitis (gpa; Diagnostic criteria have evolved, and many attempts have been made to classify the vasculitides based on clinical and/or histopathologic features, with an aim to develop standardized criteria.
Eosinophilic granulomatosis with polyangiitis after prolonged intervals of tocilizumab in rheumatoid arthritis Eosinophilic granulomatosis with polyangiitis (egpa) is a rare, but severe systemic vasculitis that can affect skin and other organ systems. Eosinophilic granulomatosis with polyangiitis (egpa), also called churg strauss syndrome, is a rare, chronic disorder and a form of primary systemic autoimmune vasculitis characterized by inflammation of blood vessels.
Everyone who gets egpa has a history of asthma and/or allergies. Formerly known as wegener�s granulomatosis) and eosinophilic granulomatosis with polyangiitis (egpa; Wechsler me, akuthota p, jayne d, et al.