These lymphomas may not need to be treated when they are first diagnosed. Some patients suffer histological transformation to a more aggressive subtype with poorer prognosis.
Follicular lymphoma is an incurable blood cancer diagnosed in around 2.7 per 100,000 people each year.
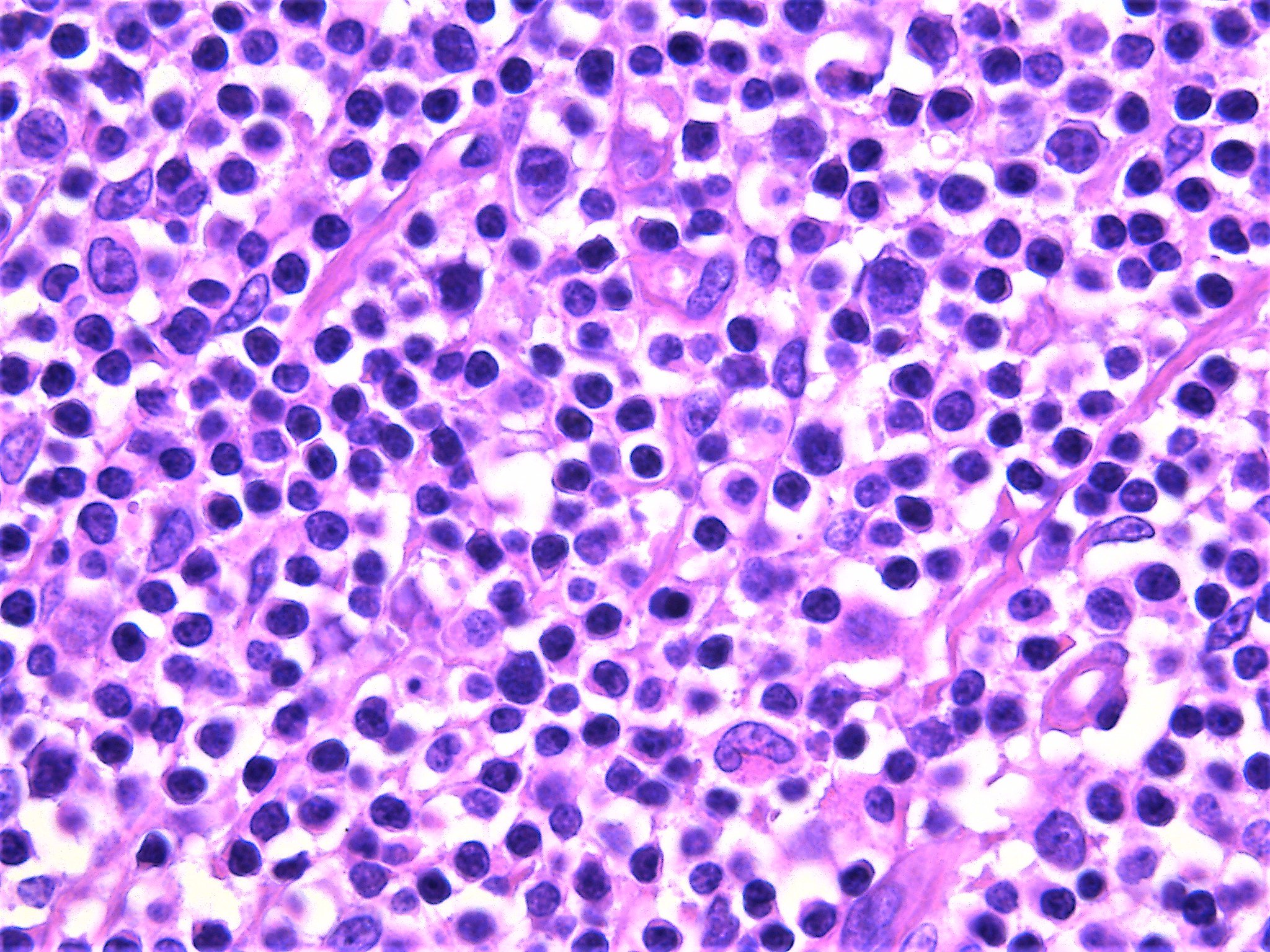
B cell follicular lymphoma. They help your body fight infections. This study aimed to improve our understanding of the genetics underlying fl histological transformation, and to identify genetic. Some follicular lymphomas can also change (transform) into or return as dlbcl.
Follicular lymphoma is an incurable blood cancer diagnosed in around 2.7 per 100,000 people each year. Poor prognosis (j clin oncol 2015;33:2516) the follicular lymphoma international prognostic index (flipi): Follicular lymphomas often respond well to treatment, but they are hard to cure.
Follicular describes how the lymphoma cells group together in clusters in a lymph node or other tissues. Fl develops when b cells become abnormal (cancerous). Fl develops when b cells become abnormal (cancerous).
The condition may grow and spread slowly with few symptoms (also known as indolent lymphoma) or may be very aggressive with severe symptoms. Instead, treatment may be delayed until the lymphoma starts causing problems. Like most lymphomas, it usually begins in the lymph nodes;
Some patients suffer histological transformation to a more aggressive subtype with poorer prognosis. It is the second most common lymphoma diagnosed in the united states. Follicular lymphoma is characterized by diffuse lymphadenopathy, bone marrow involvement, and splenomegaly.
The liver and spleen may also be affected. Follicular lymphoma (fl) is an indolent but largely incurable disease. It usually occurs in people 50 years of age or older, and the average age at diagnosis is 59.
Follicular lymphoma is a cancer that affects white blood cells called lymphocytes. Follicular lymphoma frequently transforms into an aggressive subtype resembling germinal center derived diffuse large b cell lymphoma; Follicular lymphoma (fl) is generally an indolent b cell lymphoproliferative disorder of transformed follicular center b cells.
For these lymphomas, your doctor will review which treatments you may have already had to decide which is the next best. These lymphomas may not need to be treated when they are first diagnosed. Involvement of other lymphatic tissues such as the spleen or bone marrow;
Age (≥ 60 versus < 60 years) Common symptoms associated with lymphoma include painless enlargement of one or more lymph node areas, fever, night sweats, and weight loss. It can spread into the blood and bone marrow, as well as the internal organs.
And spread to other bodily tissues and. These irregular shaped follicles replace the normal structure of a lymph node. It is characterized by slow growth (the most indolent one), and most of the patients remain asymptomatic for years before a diagnosis of fl is made.
Lim md phd university of pennsylvania.